Parenteral nutrition
Home TPN formula

Parenteral nutrition (PN) is the feeding of nutritional products to a person intravenously,[1] bypassing the usual process of eating and digestion. The products are made by pharmaceutical compounding entities or standard pharmaceutical companies.[2] The person receives a nutritional mix according to a formula including glucose, salts, amino acids, lipids and vitamins and dietary minerals.[3] It is called total parenteral nutrition (TPN) or total nutrient admixture (TNA) when no significant nutrition is obtained by other routes, and partial parenteral nutrition (PPN) when nutrition is also partially enteric. It is called peripheral parenteral nutrition (PPN) when administered through vein access in a limb rather than through a central vein as central venous nutrition (CVN).[4]

Medical uses

Total parenteral nutrition (TPN) is provided when the gastrointestinal tract is nonfunctional because of an interruption in its continuity (it is blocked, or has a leak – a fistula) or because its absorptive capacity is impaired.[5] It has been used for comatose patients, although enteral feeding is usually preferable, and less prone to complications. Parenteral nutrition is used to prevent malnutrition in patients who are unable to obtain adequate nutrients by oral or enteral routes.[6] The Society of Critical Care Medicine (SCCM) and American Society for Parenteral and Enteral Nutrition recommends waiting until the seventh day of hospital care.[7]

Absolute indications for TPN

Diseases that would require the use of TPN include:[7]

Gastrointestinal disorders

TPN may be the only feasible option for providing nutrition to patients who do not have a functioning gastrointestinal tract or who have disorders requiring complete bowel rest, including bowel obstruction,[8] short bowel syndrome,[8] gastroschisis,[8] prolonged diarrhea regardless of its cause,[8] very severe Crohn's disease[8] or ulcerative colitis,[8] and certain pediatric GI disorders including congenital GI anomalies and necrotizing enterocolitis.[9]

In the geriatric population

There are physical, physiological, or mental differences in the geriatric population that could potentially lead to poor nutrient intake that would require them to have nutrition therapy.[10] Geriatric patients are more inclined to have delayed muscle restoration compared to the younger population. Additionally, older patients are observed to have greater cardiac and renal impairment, insulin resistance, and to have deficiencies in vitamins and crucial elements. Patients who require nutrition therapy but have contraindications for or cannot tolerate enteral nutrition are appropriate candidates for parenteral nutrition. In the geriatric population, it is indicated if oral or enteral nutrition is impossible for 3 days or when oral or enteral nutrition is likely insufficient for more than 7 to 10 days. While there are no complications of parenteral nutrition specific to the geriatric population, complications are more prevalent in this population due to increased comorbidities.[11]

In cancer

Patients who are diagnosed with cancer, whether as outpatient undergoing treatment or hospitalized, are at a greater risk of malnutrition and cachexia. Cancer-related malnutrition can be attributed to the decrease in food intake, increase in the need for energy, and the alteration of metabolism.[12] Patients should be assessed early on in their cancer treatment for any nutritional risk, such as by taking routine weights and BMI. Parenteral nutrition is indicated in cancer patients when it is not possible to access the digestive tract or if the tract is ineffective. In advanced cancer patients, the use of PN should be discussed in context of the risks and benefits, such as if the approximate survival rate is longer than 3 months and if PN would be expected to greatly improve the patients' quality of life.[12]

It is uncertain whether home parenteral nutrition improves survival or quality of life in people with malignant bowel obstruction.[13]

Duration

Short-term PN may be used if a person's digestive system has shut down (for instance by peritonitis), and they are at a low enough weight to cause concerns about nutrition during an extended hospital stay. Long-term PN is occasionally used to treat people suffering the extended consequences of an accident, surgery, or digestive disorder. PN has extended the life of children born with nonexistent or severely deformed organs.

Living with TPN

Approximately 40,000 people use TPN at home in the United States, and because TPN requires 10–16 hours to be administered, daily life can be affected.[14] Although daily lifestyle can be changed, most patients agree that these changes are better than staying at the hospital.[15] Many different types of pumps exist to limit the time the patient is "hooked up". Usually a backpack pump is used, allowing for mobility. The time required to be connected to the IV is dependent on the situation of each patient; some require once a day, or five days a week.[14]

It is important for patients to avoid as much TPN-related change as possible in their lifestyles. This allows for the best possible mental health situation; constantly being held down can lead to resentment and depression. Physical activity is also highly encouraged, but patients must avoid contact sports (equipment damage) and swimming (infection). Many teens find it difficult to live with TPN due to issues regarding body image and not being able to participate in activities and events.[14]

Complications

TPN fully bypasses the GI tract and normal methods of nutrient absorption. Possible complications, which may be significant, are listed below. Other than those listed below, common complications of TPN include hypophosphatemia, hypokalemia, hyperglycemia, hypercapnia, decreased copper and zinc levels, elevated prothrombin time (if associated with liver injury), hyperchloremic metabolic acidosis and decreased gastrointestinal motility.[7]

Infection

TPN requires a chronic IV access for the solution to run through, and the most common complication is infection of this catheter. Infection is a common cause of death in these patients, with a mortality rate of approximately 15% per infection, and death usually results from septic shock.[16] When using central venous access, the subclavian (or axillary) vein is preferred due to its ease of access and lowest infectious complications compared to the jugular and femoral vein insertions.[5]

Catheter complications include pneumothorax, accidental arterial puncture, and catheter-related sepsis. The complication rate at the time of insertion should be less than 5%. Catheter-related infections may be minimised by appropriate choice of catheter and insertion technique.[17]

Blood clots

Chronic IV access leaves a foreign body in the vascular system, and blood clots on this IV line are common.[18] Death can result from pulmonary embolism wherein a clot that starts on the IV line breaks off and travels to the lungs, blocking blood flow.[19]

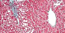
Micrograph of periportal fatty liver as may arise due to TPN. Trichrome stain.

Patients on TPN who have such clots occluding their catheter may receive a thrombolytic flush to dissolve the clots and prevent further complications.

Fatty liver and liver failure

Fatty liver is usually a more long-term complication of TPN, though over a long enough course it is fairly common. The pathogenesis is due to using linoleic acid (an omega-6 fatty acid component of soybean oil) as a major source of calories.[20][21] TPN-associated liver disease strikes up to 50% of patients within 5–7 years, correlated with a mortality rate of 2–50%. The onset of this liver disease is the major complication that leads TPN patients to requiring an intestinal transplant.[22]

Intralipid (Fresenius-Kabi), the US standard lipid emulsion for TPN nutrition, contains a 7:1 ratio of n-6/n-3 ratio of polyunsaturated fatty acids (PUFA). By contrast, Omegaven has a 1:8 ratio and showed promise in multiple clinical studies. Therefore, n-3-rich fat may alter the course of parenteral nutrition associated liver disease (PNALD).[23]

Hunger

Because patients are being fed intravenously, the subject does not physically eat, resulting in intense hunger pangs (pains). The brain uses signals from the mouth (taste and smell), the stomach and gastrointestinal tract (fullness) and blood (nutrient levels) to determine conscious feelings of hunger.[24] In cases of TPN, the taste, smell and physical fullness requirements are not met, and so the patient experiences hunger, although the body is being fully nourished.

Patients who eat food despite the inability can experience a wide range of complications, such as refeeding syndrome.[25]

Cholecystitis

Total parenteral nutrition increases the risk of acute cholecystitis[26] due to complete disuse of the gastrointestinal tract, which may result in bile stasis in the gallbladder. Other potential hepatobiliary dysfunctions include steatosis,[27] steatohepatitis, cholestasis, and cholelithiasis.[28] Six percent of patients on TPN longer than three weeks and 100% of patients on TPN longer than 13 weeks develop biliary sludge. The formation of sludge is the result of stasis due to lack of enteric stimulation and is not due to changes in bile composition. Gallbladder sludge disappears after four weeks of a normal oral diet. Administration of exogenous cholecystokinin (CCK) or stimulation of endogenous CCK by a periodic pulse of large amounts of amino acids has been shown to help prevent sludge formation. These therapies are not routinely recommended.[29] Such complications are suggested to be the main reason for mortality in people requiring long-term total parenteral nutrition, such as in short bowel syndrome.[30] In newborn infants with short bowel syndrome with less than 10% of expected intestinal length, thereby being dependent upon total parenteral nutrition, five-year survival is approximately 20%.[31]

Gut atrophy

Infants who are sustained on TPN without food by mouth for prolonged periods are at risk for developing gut atrophy.[32]

Hypersensitivity

Hypersensitivity is a rarely described but significant complication of parenteral nutrition therapy. First reported in 1965,[33] the incidence of these reactions is speculated to be around one in 1.5 million patients who are provided parenteral nutrition.[34] There is a wide range in how and when these reactions manifest. Cutaneous manifestations are the most common presentation. Hypersensitivity is thought to occur to the individual components of TPN, with the intravenous lipid emulsion being the most frequently implicated component, followed by the multivitamin solution and the amino acid solution.[34]

Medications

Patients who are receiving intravenous parenteral nutrition may also need to receive intravenous medications as well using the same Y-site. It is important to assess the compatibility of the medications with the nutrition components. Incompatibilities can be observed physically through discoloration, phase separation, or precipitation.[35]

Metabolic complications

Metabolic complications include the refeeding syndrome characterised by hypokalemia, hypophosphatemia and hypomagnesemia. Hyperglycemia is common at the start of therapy, but can be treated with insulin added to the TPN solution. Hypoglycaemia is likely to occur with abrupt cessation of TPN. Liver dysfunction can be limited to a reversible cholestatic jaundice and to fatty infiltration (demonstrated by elevated transaminases). Severe hepatic dysfunction is a rare complication.[36] Overall, patients receiving TPN have a higher rate of infectious complications. This can be related to hyperglycemia.[37]

Pregnancy

Pregnancy can cause major complications when trying to properly dose the nutrient mixture. Because all of the baby's nourishment comes from the mother's blood stream, the doctor must properly calculate the dosage of nutrients to meet both recipients’ needs and have them in usable forms. Incorrect dosage can lead to many adverse, hard-to-guess effects, such as death, and varying degrees of deformation or other developmental problems.[38]

It is recommended that parenteral nutrition administration begins after a period of natural nutrition so doctors can properly calculate the nutritional needs of the fetus. Otherwise, it should only be administered by a team of highly skilled doctors who can accurately assess the fetus’ needs.[38]

Total parenteral nutrition

Prescription lipid parenteral nutrition formulation

Solutions for total parenteral nutrition may be customized to individual patient requirements, or standardized solutions may be used. The use of standardized parenteral nutrition solutions is cost-effective and may provide better control of serum electrolytes.[39] Ideally each patient is assessed individually before commencing on parenteral nutrition, and a team consisting of specialised doctors, nurses, clinical pharmacists, and registered dietitians evaluate the patient's individual data and decide what PN formula to use and at what infusion rate.

For energy only, intravenous sugar solutions with dextrose or glucose are generally used. This is not considered to be parenteral nutrition as it does not prevent malnutrition when used on its own. Standardized solutions may also differ between developers. Following are some examples of what compositions they may have. The solution for normal patients may be given both centrally and peripherally.

Examples of total parenteral nutrition solutions[39]
SubstanceNormal patientHigh stressFluid-restricted
Amino acids85 g128 g75 g
Dextrose250 g350 g250 g
Lipids100 g100 g50 g
Na+150 mEq155 mEq80 mEq
K+80 mEq80 mEq40 mEq
Ca2+360 mg360 mg180 mg
Mg2+240 mg240 mg120 mg
Acetate72 mEq226 mEq134 mEq
Cl143 mEq145 mEq70 mEq
P310 mg465 mg233 mg
MVI-1210 mL10 mL10 mL
Trace elements5 mL5 mL5 mL

Components

Prepared solutions

Prepared solutions generally consist of water and electrolytes; glucose, amino acids, and lipids; essential vitamins, minerals and trace elements are added or given separately. Previously lipid emulsions were given separately but it is becoming more common for a "three-in-one" solution of glucose, proteins, and lipids to be administered.[40][41]

Added components

Individual nutrient components may be added to more precisely adjust the body contents of it. That individual nutrient may, if possible, be infused individually, or it may be injected into a bag of nutrient solution or intravenous fluids (volume expander solution) that is given to the patient.

Administration of individual components may be more hazardous than administration of pre-mixed solutions such as those used in total parenteral nutrition, because the latter are generally already balanced in regard to e.g. osmolarity and ability to infuse peripherally. Incorrect IV administration of concentrated potassium can be lethal, but this is not a danger if the potassium is mixed in TPN solution and diluted.[42]

Vitamins may be added to a bulk premixed nutrient immediately before administration, since the additional vitamins can promote spoilage of stored product. Vitamins can be added in two doses, one fat-soluble, the other water-soluble. There are also single-dose preparations with both fat- and water-soluble vitamins such as Cernevit.[43][44]

Minerals and trace elements for parenteral nutrition are available in prepared mixtures, such as Addaven.[45]

These additional components in parenteral nutritions, however were subject to stability checks, since they greatly affect the stability of lipid emulsions that serve as the base for these formulations. Studies have shown differences in physical and chemical stabilities of these total parenteral nutrition solutions,[46][47][48] which greatly influences pharmaceutical manufacturing of these admixtures.

Emulsifier

Only a limited number of emulsifiers are commonly regarded as safe to use for parenteral administration, of which the most important is lecithin. Lecithin can be biodegraded and metabolized, since it is an integral part of biological membranes, making it virtually non-toxic. Other emulsifiers can only be excreted via the kidneys, creating a toxic load. The emulsifier of choice for most fat emulsions used for parenteral nutrition is a highly purified egg lecithin,[49] due to its low toxicity and complete integration with cell membranes.

Use of egg-derived emulsifiers is not recommended for people with an egg allergy due to the risk of reaction. In situations where there is no suitable emulsifying agent for a person at risk of developing essential fatty acid deficiency, cooking oils may be spread upon large portions of available skin for supplementation by transdermal absorption.[50]

Another type of fat emulsion Omegaven is being used experimentally within the US primarily in the pediatric population. It is made of fish oil instead of the soybean oil based formulas more widely in use. Research has shown use of Omegaven may reverse and prevent liver disease and cholestasis.[51]

History

Developed in the 1960s by Dr. Stanley Dudrick, who as a surgical resident in the University of Pennsylvania, working in the basic science laboratory of Dr. Jonathan Rhoads, was the first to successfully nourish initially Beagle puppies and subsequently newborn babies with catastrophic gastrointestinal malignancies.[52] Dr. Dudrick collaborated with Dr. Willmore and Dr. Vars to complete the work necessary to make this nutritional technique safe and successful.[53]

In 2019 the UK experienced a severe shortage of TPN bags due to safety restrictions at the sole manufacturing site, operated by Calea. The National Health Service described the situation as an emergency.[54]

See also

References

  1. "BNFc is only available in the UK". NICE. Retrieved 2021-02-19.
  2. "Commercial Compounders". BSNA. Retrieved 2021-02-19.
  3. "Parenteral Nutrition: What it Is, Uses & Types". Cleveland Clinic. Retrieved 2023-10-26.
  4. Payne-James, J. Jason; Khawaja, Hamid T. (September 1993). "Review: First Choice for Total Parenteral Nutrition: The Peripheral Route". Journal of Parenteral and Enteral Nutrition. 17 (5): 468–478. doi:10.1177/0148607193017005468.
  5. 1 2 Kozier, B., & Erb, G., & Berman, A.J., & Burke, K., & Bouchal, S. R., & Hirst, S. P.. (2004). Fundamentals of Nursing: The Nature of Nursing Practice in Canada. Canadian Edition. Prentice Hall Health: Toronto.
  6. "American Gastroenterological Association medical position statement: parenteral nutrition". Archived from the original on 2007-07-30. Retrieved 2008-01-05.
  7. 1 2 3 Van Gossum A, Cabre E, Hebuterne X, Jeppesen P, Krznaric Z, Messing B, Powell-Tuck J, Staun M, Nightingale J. ESPEN Guidelines on Parenteral Nutrition: Gastroenterology. Clinical Nutrition. 2009; (28):415–427.
  8. 1 2 3 4 5 6 The Merck Manual, 2008
  9. Heird WC, Gomez MR (June 1994). "Total parenteral nutrition in necrotizing enterocolitis". Clinics in Perinatology. 21 (2): 389–409. doi:10.1016/S0095-5108(18)30352-X. PMID 8070233.
  10. Sobotka L, Schneider SM, Berner YN, Cederholm T, Krznaric Z, Shenkin A, et al. (August 2009). "ESPEN Guidelines on Parenteral Nutrition: geriatrics". Clinical Nutrition. 28 (4): 461–6. doi:10.1016/j.clnu.2009.04.004. PMID 19464772.
  11. Sobotka L, Schneider SM, Berner YN, Cederholm T, Krznaric Z, Shenkin A, et al. (August 2009). "ESPEN Guidelines on Parenteral Nutrition: geriatrics". Clinical Nutrition. 28 (4): 461–6. doi:10.1016/j.clnu.2009.04.004. PMID 19464772.
  12. 1 2 Arends J, Baracos V, Bertz H, Bozzetti F, Calder PC, Deutz NE, et al. (October 2017). "ESPEN expert group recommendations for action against cancer-related malnutrition". Clinical Nutrition. 36 (5): 1187–1196. doi:10.1016/j.clnu.2017.06.017. PMID 28689670.
  13. Sowerbutts AM, Lal S, Sremanakova J, Clamp A, Todd C, Jayson GC, et al. (August 2018). "Home parenteral nutrition for people with inoperable malignant bowel obstruction". The Cochrane Database of Systematic Reviews. 8 (8): CD012812. doi:10.1002/14651858.cd012812.pub2. PMC 6513201. PMID 30095168.
  14. 1 2 3 Yaworski JA. "Total Parenteral Nutrition (TPN) Frequently Asked Questions". Children's Hospital of Pittsburgh. Retrieved 30 March 2014.
  15. "Living with total parenteral nutrition (TPN) at home". Great Ormond Street Hospital. Archived from the original on 7 April 2014. Retrieved 30 March 2014.
  16. Deshpande KS (July 2003). "Total parenteral nutrition and infections associated with use of central venous catheters". American Journal of Critical Care. 12 (4): 326–7, 380. doi:10.4037/ajcc2003.12.4.326. PMID 12882062.
  17. Ryan JA, Abel RM, Abbott WM, Hopkins CC, Chesney TM, Colley R, et al. (April 1974). "Catheter complications in total parenteral nutrition. A prospective study of 200 consecutive patients". The New England Journal of Medicine. 290 (14): 757–61. doi:10.1056/NEJM197404042901401. PMID 4205578.
  18. Mollitt DL, Golladay ES (August 1983). "Complications of TPN catheter-induced vena caval thrombosis in children less than one year of age". Journal of Pediatric Surgery. 18 (4): 462–7. doi:10.1016/S0022-3468(83)80201-2. PMID 6413671.
  19. Mailloux RJ, DeLegge MH, Kirby DF (Nov–Dec 1993). "Pulmonary embolism as a complication of long-term total parenteral nutrition". Journal of Parenteral and Enteral Nutrition. 17 (6): 578–82. doi:10.1177/0148607193017006578. PMID 8301814.
  20. "Evaluation of OMEGAVEN 10%® (n-3 EFA Lipid Emulsion) in Home Parenteral Nutrition-associated Liver Disease (MEGANORM)". ClinicalTrials.gov. US National Library of Medicine. 30 March 2016. Retrieved 15 March 2023.
  21. Piper SN, Schade I, Beschmann RB, Maleck WH, Boldt J, Röhm KD (December 2009). "Hepatocellular integrity after parenteral nutrition: comparison of a fish-oil-containing lipid emulsion with an olive-soybean oil-based lipid emulsion". European Journal of Anaesthesiology. 26 (12): 1076–82. doi:10.1097/EJA.0b013e32832e08e0. PMID 19916246. S2CID 22406883.
  22. Garg, M. Jones, R. M., Vaughan, R. B., Testro, A. G. (2011). Intestinal transplantation: Current status and future directions. Journal of Gastroenterology and Hepatology, 26, 1221–1228
  23. Kumar Jain A, Teckman JH (2014). "Newly Identified Mechanisms of Total Parenteral Nutrition Related Liver Injury". Advances in Hepatology. 2014: 1–7. doi:10.1155/2014/621380. ISSN 2356-6744.
  24. Hunger (motivational state)
  25. "Bowel Obstruction". Women's Health. 9 May 2013. Retrieved 30 March 2014.
  26. Tucker RA, Jenkins HL (November 1984). "Acalculous cholecystitis and fever related to total parenteral nutrition". Drug Intelligence & Clinical Pharmacy. 18 (11): 897–9. doi:10.1177/106002808401801110. PMID 6437783. S2CID 25507035.
  27. Wang H, Khaoustov VI, Krishnan B, Cai W, Stoll B, Burrin DG, Yoffe B (October 2006). "Total parenteral nutrition induces liver steatosis and apoptosis in neonatal piglets". The Journal of Nutrition. 136 (10): 2547–52. doi:10.1093/jn/136.10.2547. PMID 16988124.
  28. Quigley EM, Marsh MN, Shaffer JL, Markin RS (January 1993). "Hepatobiliary complications of total parenteral nutrition". Gastroenterology. 104 (1): 286–301. doi:10.1016/0016-5085(93)90864-9. PMID 8419252.
  29. "Gastroenterology Grand Rounds". Archived from the original on 2006-09-10. Retrieved 2011-12-18.
  30. Vanderhoof JA, Langnas AN (November 1997). "Short-bowel syndrome in children and adults". Gastroenterology. 113 (5): 1767–78. doi:10.1053/gast.1997.v113.pm9352883. PMID 9352883.
  31. Spencer AU, Neaga A, West B, Safran J, Brown P, Btaiche I, et al. (September 2005). "Pediatric short bowel syndrome: redefining predictors of success". Annals of Surgery. 242 (3): 403–9, discussion 409–12. doi:10.1097/01.sla.0000179647.24046.03. PMC 1357748. PMID 16135926. (mean follow-up time was 5.1 years)
  32. Strodtbeck F (June 2003). "The pathophysiology of prolonged periods of no enteral nutrition or nothing by mouth". Newborn & Infant Nursing Reviews. 3 (2): 47–54. doi:10.1016/S1527-3369(03)00005-9. Retrieved 4 January 2016.
  33. Guimbretiere J, Nicolas F, Nicolas G, Guimbretiere L (April 1965). "4 Cases of Intolerance to Lipid Perfusions Observed with an Emulsion of Cotton Seed Oil in the Presence of Soya Lecithin and Dl-Alpha-Tocopherol". Cahiers d'Anesthésiologie. 13: 355–70. PMID 14343541.
  34. 1 2 Christian VJ, Tallar M, Walia CL, Sieracki R, Goday PS (November 2018). "Systematic Review of Hypersensitivity to Parenteral Nutrition". Journal of Parenteral and Enteral Nutrition. 42 (8): 1222–1229. doi:10.1002/jpen.1169. PMID 29761928. S2CID 46888724.
  35. Bouchoud L, Fonzo-Christe C, Klingmüller M, Bonnabry P (2013). "Compatibility of intravenous medications with parenteral nutrition: in vitro evaluation". Journal of Parenteral and Enteral Nutrition. 37 (3): 416–24. doi:10.1177/0148607112464239. PMID 23112277. S2CID 25676758.
  36. G. Edward Morgan, Jr., Maged S. Mikhail, Michael J. MurrayClinical Anesthesiology, 4th Edition
  37. McCowen KC, Friel C, Sternberg J, Chan S, Forse RA, Burke PA, Bistrian BR (November 2000). "Hypocaloric total parenteral nutrition: effectiveness in prevention of hyperglycemia and infectious complications—a randomized clinical trial". Critical Care Medicine. 28 (11): 3606–11. doi:10.1097/00003246-200011000-00007. PMID 11098961. S2CID 1644195.
  38. 1 2 Landon MB, Gabbe SG, Mullen JL (March 1986). "Total parenteral nutrition during pregnancy". Clinics in Perinatology. 13 (1): 57–72. doi:10.1016/S0095-5108(18)30838-8. PMID 3082563.
  39. 1 2 Hayes EM, Cohen KR, Pinard BE, Lauletta J, Ruggiero R (2000). "Standardized versusindividually customized parenteral nutrition solutions: a comparison ofserum electrolyte values" (PDF). P&T. 25 (2): 78–80, 83, 87. Archived from the original (PDF) on 2011-07-15. Retrieved 2010-09-17.
  40. Didier ME, Fischer S, Maki DG (1998). "Total nutrient admixtures appear safer than lipid emulsion alone as regards microbial contamination: growth properties of microbial pathogens at room temperature". Journal of Parenteral and Enteral Nutrition. 22 (5): 291–6. doi:10.1177/0148607198022005291. PMID 9739032.
  41. Rollins CJ, Elsberry VA, Pollack KA, Pollack PF, Udall JN (1990). "Three-in-one parenteral nutrition: a safe and economical method of nutritional support for infants". Journal of Parenteral and Enteral Nutrition. 14 (3): 290–4. doi:10.1177/0148607190014003290. PMID 2112645.
  42. Intravenous Potassium Guidelines (ADULTS) Archived 2011-02-24 at the Wayback Machine From RNSH Pharmacy Department. Authorised by: Margaret Duguid. Last Modified: June 2006.
  43. "Cernevit™-12 (multivitamins for infusion)" (PDF). Food and Drug Administration. 1999.
  44. "Cernevit" (PDF). NPS MedicineWise. October 2014.
  45. "Addaven Konzentrat zur Herstellung einer Infusionslösung". Wissenschaftliche Verlagsgesellschaft Stuttgart. 2015-10-26.
  46. Staven, Vigdis; Wang, Siri; Grønlie, Ingrid; Tho, Ingunn (2020-01-01). "Physical stability of an all-in-one parenteral nutrition admixture for preterm infants upon mixing with micronutrients and drugs". European Journal of Hospital Pharmacy. 27 (1): 36–42. doi:10.1136/ejhpharm-2018-001562. ISSN 2047-9956. PMC 6992975. PMID 32064087.
  47. Pertkiewicz, Marek; Cosslett, Allan; Mühlebach, Stefan; Dudrick, Stanley J. (2009-06-01). "Basics in clinical nutrition: Stability of parenteral nutrition admixtures". e-SPEN, the European e-Journal of Clinical Nutrition and Metabolism. 4 (3): e117–e119. doi:10.1016/j.eclnm.2009.01.010. ISSN 1751-4991.
  48. Stawny, M.; Olijarczyk, R.; Jaroszkiewicz, E.; Jelińska, A. (2013). "Pharmaceutical Point of View on Parenteral Nutrition". The Scientific World Journal. 2013: 415310. doi:10.1155/2013/415310. ISSN 1537-744X. PMC 3885274. PMID 24453847.
  49. Lecithin – An Emulsifier for Parenteral Use: TORVS Research Team
  50. Skolnik, P.; Eaglstein, W. H.; Ziboh, V. A. (Jul 1977). "Human essential fatty acid deficiency: treatment by topical application of linoleic acid". Archives of Dermatology. 113 (7): 939–941. doi:10.1001/archderm.1977.01640070073010. ISSN 0003-987X. PMID 406855.
  51. Park KT, Nespor C, Kerner J (April 2011). "The use of Omegaven in treating parenteral nutrition-associated liver disease". Journal of Perinatology. 31 (Suppl 1): S57-60. doi:10.1038/jp.2010.182. PMID 21448206.
  52. Wilmore DW, Groff DB, Bishop HC, Dudrick SJ (April 1969). "Total parenteral nutrition in infants with catastrophic gastrointestinal anomalies". Journal of Pediatric Surgery. 4 (2): 181–9. doi:10.1016/0022-3468(69)90389-3. PMID 4976039.
  53. Dudrick SJ, Wilmore DW, Vars HM, Rhoads JE (July 1968). "Long-term total parenteral nutrition with growth, development, and positive nitrogen balance". Surgery. 64 (1): 134–42. PMID 4968812.
  54. "Patients who cannot eat food 'fear for lives'". BBC News. 15 August 2019.
This article is issued from Wikipedia. The text is licensed under Creative Commons - Attribution - Sharealike. Additional terms may apply for the media files.