Candelária Formation
Stratigraphic range: Late Carnian (Tuvalian)
~
Outcrop map of the Candelária Formation
TypeGeological formation
Unit ofSanta Maria Group
Sub-unitsHyperodapedon & Riograndia Assemblage Zones
UnderliesCaturrita Formation
OverliesSanta Maria Formation
Lithology
PrimaryMudstone
OtherSandstone
Location
Coordinates29°36′S 53°30′W / 29.6°S 53.5°W / -29.6; -53.5
Approximate paleocoordinates42°24′S 14°42′W / 42.4°S 14.7°W / -42.4; -14.7
RegionRio Grande do Sul
Country Brazil
ExtentParaná Basin
Type section
Named forCandelária
Candelária Formation, Paraná Basin is located in Brazil
Candelária Formation, Paraná Basin
Candelária Formation, Paraná Basin
Candelária Formation, Paraná Basin (Brazil)

The Candelária Formation, in other literature also referred to as Candelária Sequence,[1][2][3] is a sedimentary formation of the Santa Maria Group (also called Santa Maria Supersequence) in the Paraná Basin in Rio Grande do Sul, southeastern Brazil.[4] The formation dates to the Carnian of the Late Triassic, locally referred to as Tuvalian, from 231.4 to approximately 222 Ma.

The Candelária Formation is composed of mudstones and sandstones deposited in a lacustrine to deltaic (distal floodplain) environment. It overlies the Santa Maria Formation and is partly overlain by and partly laterally equivalent to the Caturrita Formation. The formation comprises two Assemblage zones; the older Hyperodapedon and the younger Riograndia Assemblage Zones. Several cynodonts and other therapsids as well as early dinosaurs were found in the formation in the vicinity of Agudo.

Description

Candelária Sequence in the Paraná Basin

The Candelária Formation or Sequence corresponds to a third-order sequence placed in the Santa Maria Supersequence. The basal portion of the formation consists of a coarsening-upward succession that begins with red mudstones, interbedded with small-scale trough cross-bedded sandstone lenses. Rhythmites and sigmoidal massive to climbing cross-laminated sandstone bodies are also present. This facies association is interpreted as a lacustrine to deltaic (distal floodplain)[5] depositional environment in a humid climate. The formation contains the Hyperodapedon and Riograndia Assemblage Zones.[6][7]

The red beds are divided into a non-fossiliferous portion at the base, and an upper fossiliferous unit. Coprolites and putative rhizoliths are present. A light-colored cross-bedded sandstone also occurs at the top of the formation and represents a river channel. It is delimited by an erosive contact with the underlying red beds.[5]

The Candelária Formation is considered a local equivalent of the Caturrita Formation,[8] which it partly underlies. It overlies the Santa Maria Formation.[9] The formation is correlated with the Ischigualasto Formation of the Ischigualasto-Villa Unión Basin in northwestern Argentina.[2]

Basin history

Stratigraphic chart of the Paraná Basin, with the Candelária Formation belonging to the Gondwana II Supersequence

The megaregional Paraná Basin, covering an approximate area of 1,500,000 square kilometres (580,000 sq mi) in southeastern South America, was in the late Paleozoic and early Mesozoic part of Gondwana, the southern latitude area of Pangea. Before the opening of the South Atlantic, a rifting phase that started in the Jurassic, the basin was connected to the basins of present-day southern Africa. The Candelária Formation forms part of the Gondwana II Supersequence representing the onset of continental deposition in the Paraná Basin. The Triassic paleofauna of the Paraná Basin is correlated with the African faunas of the Omingonde Formation of the Waterberg Basin in Namibia, the Molteno Formation of the Karoo Basin in South Africa and the Fremouw Formation of present-day Antarctica.[10]

Fossil content

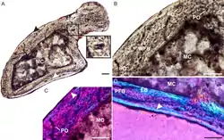
Limb bone osteohistology of Brasilitherium riograndensis
Ulna osteohistology of Brasilodon quadrangularis

The formation has provided fossils of therapsids characteristic of the Late Triassic, as well as early dinosaurs.[4]

GroupFossilsAssemblage zoneImageNotes
Dinosaurs Erythrovenator jacuiensis [11]
Macrocollum itaquii
[12]
Dinosauria indet.
[13]
Archosauromorpha indet.[14]
TherapsidsBrasilitherium riograndensisRiograndia
Brasilitherium riograndensis
[2]
Brasilodon quadrangularisRiograndia[2]
Botucaraitherium belarminoiRiograndia[15]
Irajatherium hernandeziRiograndia
[2]
Prozostrodon brasiliensisHyperodapedon
[2][16]
Siriusgnathus niemeyerorum[14]
Probainognathia indet.[14]
RhynchosaursHyperodapedon sp.Hyperodapedon
[7][16]
RhynchocephaliansLanceirosphenodon ferigoloiRiograndia[17]

See also

References

  1. Müller et al., 2017, p.543
  2. 1 2 3 4 5 6 Botha-Brink, 2018, p.7
  3. Martinelli et al., 2017, p.528
  4. 1 2 Candelária Formation at Fossilworks.org
  5. 1 2 Pretto et al., 2015, p.2
  6. Soares et al., 2014, p.1675
  7. 1 2 Pacheco et al., 2017, p.2
  8. Da Rosa & Faccini, 2005, p.21
  9. Da Rosa & Faccini, 2005, p.18
  10. Milani et al., 2007
  11. Rodrigo T. Müller (2020). "A new theropod dinosaur from a peculiar Late Triassic assemblage of southern Brazil". Journal of South American Earth Sciences. in press: Article 103026. doi:10.1016/j.jsames.2020.103026.
  12. Müller, Rodrigo Temp; Langer, Max Cardoso; Dias-da-Silva, Sérgio (November 2018). "An exceptionally preserved association of complete dinosaur skeletons reveals the oldest long-necked sauropodomorphs". Biology Letters. 14 (11): 20180633. doi:10.1098/rsbl.2018.0633. ISSN 1744-9561. PMC 6283919. PMID 30463923.
  13. Müller et al., 2018, p.545
  14. 1 2 3 Niemeyer, Agudo at Fossilworks.org
  15. Soares et al., 2014, p.1677
  16. 1 2 Marchezan at Fossilworks.org
  17. Romo de Vivar et al., 2020

Bibliography

Further reading

This article is issued from Wikipedia. The text is licensed under Creative Commons - Attribution - Sharealike. Additional terms may apply for the media files.