Mantle zone
Histology of a normal secondary lymphoid follicle, with yellow arrows pointing at the mantle zone.
Anatomical terminology
Image labeled in German, but "Mantel-zone" visible near center

The mantle zone (or just mantle) of a lymphatic nodule (or lymphatic follicle) is an outer ring of small lymphocytes surrounding a germinal center.[1]

It is also known as the "corona".[2]

It contains transient lymphocytes.[3]

It is the location of the lymphoma in mantle cell lymphoma.

Pathology

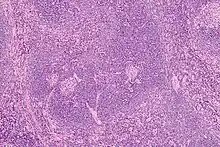
Intermediate magnification micrograph of Castleman disease showing the characteristic expansion of the mantle zone. H&E stain

Mantle zone expansion may be seen in benign, such as Castleman disease, and malignancy, i.e., Mantle cell lymphoma. Tcl-1 is expressed in the mantle zone.

References

  1. "University of Cambridge: Department of Pathology". Archived from the original on 2008-06-03. Retrieved 2008-07-29.
  2. "Lymph Nodes". Archived from the original on 2008-03-17. Retrieved 2008-07-29.
  3. "Pathology of lymph nodes – Dr. Levy". www.dartmouth.edu. Archived from the original on 1999-11-05.
This article is issued from Wikipedia. The text is licensed under Creative Commons - Attribution - Sharealike. Additional terms may apply for the media files.