Pneumobilia
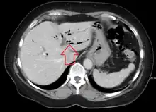
CT scan of pneumobilia

Pneumobilia is the presence of gas in the biliary system. It is typically detected by ultrasound or a radiographic imaging exam, such as CT, or MRI. It is a common finding in patients that have recently undergone biliary surgery or endoscopic biliary procedure. While the presence of air within biliary system is not harmful, this finding may alternatively suggest a pathological process, such as a biliary-enteric anastomosis, an infection of the biliary system, an incompetent sphincter of Oddi, or spontaneous biliary-enteric fistula.

Causes

In a healthy individual with normal anatomy, there is no air within the biliary tree. When this finding is present, it may be secondary to:

  • Recent surgical or endoscopic biliary procedure (e.g. ERCP, biliary enteric anastomosis)
  • Incompetent sphincter of Oddi (e.g. passage of large gallstone, scarring related to chronic pancreatitis)
  • Spontaneous biliary enteric fistula (e.g. gallstone ileus)
  • Infection by gas-forming organisms (e.g. emphysematous cholangitis)
  • Congenital abnormalities

Other rare causes that have been reported include duodenal diverticulum, paraduodenal abscess, operative trauma, and carcinoma of the duodenum, stomach and bile duct.[1][2]

References

  1. Marshall SF, Polk RC (1958). "Spontaneous internal biliary fistulas". Surg Clin North Am. 38 (3): 679–91. doi:10.1016/s0039-6109(16)35488-3. PMID 13556568.
  2. ReMine WH (1973). "Biliary-enteric fistulas: natural history and mangement[sic]". Adv Surg. 7: 69–94. PMID 4591256.

Further reading

This article is issued from Wikipedia. The text is licensed under Creative Commons - Attribution - Sharealike. Additional terms may apply for the media files.