| Pseudoangiomatous stromal hyperplasia | |
|---|---|
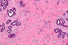
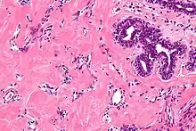
![]() | |
| High magnification micrograph of pseudoangiomatous stromal hyperplasia showing the characteristic small, anastomosing blood vessel-like channels. H&E stain. | |
| Specialty | Pathology |
Pseudoangiomatous stromal hyperplasia (PASH) is an overgrowth of myofibroblastic cells in the breast. It has an appearance similar to fibroadenomatoid changes.[1]
The diagnostic significance is currently uncertain, but it appears to be benign. There have been cases of PASH diagnosed where the tumors co-exist with breast cancer. Other cases have made screening for breast cancer difficult and in some cases impossible due to the number and density of the existing PASH tumors. These cases have resulted in the necessity of a mastectomy and double mastectomy.
Diagnosis

The diagnosis of PASH is by biopsy.
The important differential diagnosis is angiosarcoma, from which it was first differentiated in 1986.[2]
Differential diagnosis
Treatment
The management of PASH is controversial. Excision may be indicated in enlarging masses or lesions with atypical features.
References
- ↑ Powell CM, Cranor ML, Rosen PP (March 1995). "Pseudoangiomatous stromal hyperplasia (PASH). A mammary stromal tumor with myofibroblastic differentiation". Am. J. Surg. Pathol. 19 (3): 270–7. doi:10.1097/00000478-199503000-00004. PMID 7872425. S2CID 19170467.
- ↑ Vuitch MF, Rosen PP, Erlandson RA (February 1986). "Pseudoangiomatous hyperplasia of mammary stroma". Hum. Pathol. 17 (2): 185–91. doi:10.1016/S0046-8177(86)80292-1. PMID 3949338.
- ↑ de Saint Aubain Somerhausen N, Larsimont D, Cluydts N, Heymans O, Verhest A (December 1997). "Pseudoangiomatous hyperplasia of mammary stroma in an HIV patient". Gen Diagn Pathol. 143 (4): 251–4. PMID 9489960.
External links
- PASH of breast - halls.md.
